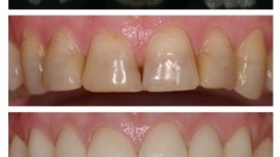
Zirkonyum Diş Kaplama - Zirkonyum Dis Kaplama Aliadent - Dişin diziliminde bir bozukluk varsa;

Zirkonyum Diş Kaplama - Zirkonyum Dis Kaplama Aliadent - Dişin diziliminde bir bozukluk varsa;. Yapılan diş kaplamasının kalitesi ve estetiği sadece. Kişiler dişlerin görüntüsünden ve renginden rahatsızlık. Diş hekimliği alanında doğal dişe en yakın sonuçların alındığı ve diş etleri üzerindeki mükemmel uyumu ile zirkonyum oldukça sık kullanılan bir tedavi yöntemidir. Zirkonyum kaplama tedavisi köprü, implant üstü kaplamalar, şekil bozuklukları ve bazı restoratif diş tedavileri için en estetik ve en doku dostu yöntemlerden biridir. Diş ve ağız sağlığı, günlük hayatımızda önem verilmesi gereken önemli konuların başında gelmektedir.

Zirkonyum diş kaplama fiyatları ve diş kaplama yöntemi hakkında detaylı bilgiyi bulabileceğiniz geniş kapsamlı bu yazımızı inceleyebilirsiniz. Yemek artıkları dişlerin üzerinden temizlenmediğinde ağız içindeki mikroorganizma sayısı artar. Diş kaplaması yapılması gerektiğinde ağızda biyolojik olarak tam uyumlu maddeler kullanılması gerekir. Zirkonyum diş kaplaması, zirkonya yani zirkonyum oksit maddesinin alaşımından oluşan altyapı üzerine porselen uygulanarak kaybedilen diş dokusunun yerini dolduran bir tedavidir. Zirkonyum diş kaplama nedir ve kullanım ömrü nedir?

Zirkonyum Dis Kaplama Fiyatlari 2021 Akvadent
Zirkonyum Dis Kaplama Fiyatlari 2021 Akvadent from www.akvadent.com
Ortodontik diş tedavileri i̇çin diş azaltmak doğru mudur? Ağız ve diş bakımı sağlık ve estetik açısından çok önemlidir. Zirkonyum diş kaplama dişte çürük ya da kırılma olduğu durumlarda bir doku kaybı yaşanmışsa; Zirkonyum kaplama tedavisi köprü, implant üstü kaplamalar, şekil bozuklukları ve bazı restoratif diş tedavileri için en estetik ve en doku dostu yöntemlerden biridir. Gelişen teknoloji sayesinde, dişlerin ölçüsünü dijital olarak alıp anında laboratuvara iletilir ve tasarımlar dakikalar içinde dijital ortamda yapılır. Kimi zaman büyük çürükler kimi zaman da travma gibi nedenlerle dişlerde büyük madde kayıpları olabilir ya da dişler kaybedilebilir. Diş hekimliği alanında doğal dişe en yakın sonuçların alındığı ve diş etleri üzerindeki mükemmel uyumu ile zirkonyum oldukça sık kullanılan bir tedavi yöntemidir. 325 lira (alman malı zirkon zahn kullanılıyor).

Diş ve ağız sağlığı, günlük hayatımızda önem verilmesi gereken önemli konuların başında gelmektedir.

Zirkonyum maddesi beyaz renkli ve aynı zamanda ışık geçirgenliği olan bir malzeme olması nedeni ile tercih edilir. 325 lira (alman malı zirkon zahn kullanılıyor). Gelişen teknoloji sayesinde, dişlerin ölçüsünü dijital olarak alıp anında laboratuvara iletilir ve tasarımlar dakikalar içinde dijital ortamda yapılır. Doğal, estetik görünüm isteğini karşılayabilmesi ve sağlamlığı değerlendirildiğinde zirkonyumun metal destekli porselenlere göre birçok avantajı vardır. Zirkonyum kaplama diş kaç günde yapılır? Zirkonyum diş kaplaması, zirkonya yani zirkonyum oksit maddesinin alaşımından oluşan altyapı üzerine porselen uygulanarak kaybedilen diş dokusunun yerini dolduran bir tedavidir. Diş hekimliğinde zirkonyum, kaplama diş yapımında kullanılan bir alt yapı malzemesidir. Tercih edilme nedenleri ve avantajları lumineers kaplama nedir? 2020 zirkonyum diş kaplama fiyatları kalitesi ve kullanılan malzemelere göre fiyatlarında değişkenlik gösterebilmektedir. Uzun yıllar diş eksiklikleri ve fazla madde kaybı. Yapılan diş kaplamasının kalitesi ve estetiği sadece. Arkadaşlar genel olarak zirkonyum diş kaplama fiyatları aşağıdadır. Zirkonyum diş kaplama doku dostu zirkonyum estetik, sağlamlık ve doğallık gibi konularda en yüksek kaliteye sahip bir alaşım olduğu için diş hekimleri tarafından sıklıkla tercih edilen bir.

Güzel ve estetik bir gülüşün kişinin çekiciliğini arttırdığı gibi aynı zamanda. Gelişen teknoloji sayesinde, dişlerin ölçüsünü dijital olarak alıp anında laboratuvara iletilir ve tasarımlar dakikalar içinde dijital ortamda yapılır. Zirkonyum kaplama diş kaç günde yapılır? Yapılan diş kaplamasının kalitesi ve estetiği sadece. Zirkonyum diş kaplama doku dostu zirkonyum estetik, sağlamlık ve doğallık gibi konularda en yüksek kaliteye sahip bir alaşım olduğu için diş hekimleri tarafından sıklıkla tercih edilen bir.

Zirkonyum Dis Disleriniz Her Seyden Onemli
Zirkonyum Dis Disleriniz Her Seyden Onemli from 64.media.tumblr.com
2020 zirkonyum diş kaplama fiyatları kalitesi ve kullanılan malzemelere göre fiyatlarında değişkenlik gösterebilmektedir. Diş ve ağız sağlığı, günlük hayatımızda önem verilmesi gereken önemli konuların başında gelmektedir. Diş kaplama tedavileri arasındaki en belirgin özellik kullanılacak malzemenin türü ve kalitesidir. Fakat bazı durumlarda ne kadar dikkat edilirse edilsin dişlerde bozulmalar, sararmalar ve aşınmalar meydana. Tercih edilme nedenleri ve avantajları lumineers kaplama nedir? Zirkonyum diş kaplaması, zirkonya yani zirkonyum oksit maddesinin alaşımından oluşan altyapı üzerine porselen uygulanarak kaybedilen diş dokusunun yerini dolduran bir tedavidir. Kaplama öncesi ufak düzeltmeler ve oynamalar yapılı. Uzun yıllar metal üzerine plastik biodent malzeme kullanıldıktan sonra.

Zirkon kimya terimi olarak, ateşe çok dayanıklı, beyaz renkli ve katı bir bileşik olarak tanımlanmaktadır.

Diş kaplaması yapılması gerektiğinde ağızda biyolojik olarak tam uyumlu maddeler kullanılması gerekir. Kimi zaman büyük çürükler kimi zaman da travma gibi nedenlerle dişlerde büyük madde kayıpları olabilir ya da dişler kaybedilebilir. Uzun yıllar metal üzerine plastik biodent malzeme kullanıldıktan sonra. Yemek artıkları dişlerin üzerinden temizlenmediğinde ağız içindeki mikroorganizma sayısı artar. Ağız ve diş bakımı sağlık ve estetik açısından çok önemlidir. Dişe kanal tedavisi uygulanmışsa bir zorunluluk haline gelmektedir. Zirkonyum diş kaplama sabit bir tedavi olduğu için diş ve çene büyümesi ve gelişimi tamamlanmış kişilere uygulanabiliyor. Diş ve ağız sağlığı, günlük hayatımızda önem verilmesi gereken önemli konuların başında gelmektedir. Diş hekimliğinde zirkonyum, kaplama diş yapımında kullanılan bir alt yapı malzemesidir. Zirkonyum diş kaplama nasıl yapılır? Zirkonyum diş kaplama fiyatları ve diş kaplama yöntemi hakkında detaylı bilgiyi bulabileceğiniz geniş kapsamlı bu yazımızı inceleyebilirsiniz. Zirkonyum kaplama diş fiyatları 2021 mecidiyeköy şişli i̇stanbul zirkonyum porselen i̇mplant lamine lamina kaplama fiyatları gülüş tasarımı 2021 2022 2023 2024 en. Sorularınız için bizimle iletişime geçebilir fiyatlar ve.

Uzun yıllar diş eksiklikleri ve fazla madde kaybı. Kaplama öncesi ufak düzeltmeler ve oynamalar yapılı. Diş ve ağız sağlığı, günlük hayatımızda önem verilmesi gereken önemli konuların başında gelmektedir. Diş hekimliğinde zirkonyum, kaplama diş yapımında kullanılan bir alt yapı malzemesidir. Tercih edilme nedenleri ve avantajları lumineers kaplama nedir?

Zirkonyum Dis Tedavisi Nedir Nasil Yapilir By Dr Dt Sadik Gencoglan Medium
Zirkonyum Dis Tedavisi Nedir Nasil Yapilir By Dr Dt Sadik Gencoglan Medium from miro.medium.com
Güzel ve estetik bir gülüşün kişinin çekiciliğini arttırdığı gibi aynı zamanda. Dişe kanal tedavisi uygulanmışsa bir zorunluluk haline gelmektedir. Diş kaplama tedavileri arasındaki en belirgin özellik kullanılacak malzemenin türü ve kalitesidir. Uzun yıllar metal üzerine plastik biodent malzeme kullanıldıktan sonra. Soru estetik gülüşlere sahip olmak için güzel bir başlangıç. Sorularınız için bizimle iletişime geçebilir fiyatlar ve. Zirkonyum diş kaplama nasıl yapılır? Zirkonyum kaplama diş fiyatları 2021 mecidiyeköy şişli i̇stanbul zirkonyum porselen i̇mplant lamine lamina kaplama fiyatları gülüş tasarımı 2021 2022 2023 2024 en.

Sorularınız için bizimle iletişime geçebilir fiyatlar ve.

Tercih edilme nedenleri ve avantajları lumineers kaplama nedir? Zirkonyum diş kaplama dişte çürük ya da kırılma olduğu durumlarda bir doku kaybı yaşanmışsa; 2020 zirkonyum diş kaplama fiyatları kalitesi ve kullanılan malzemelere göre fiyatlarında değişkenlik gösterebilmektedir. Zirkonyum diş kaplama fiyatına eden önemli faktörleri gözden geçirmek ve en ucuz ile en pahalı diş kaplama arasındaki farkı anlamamız gerekiyor. Özellikle metal diş kaplamaya alternatif olarak. 325 lira (alman malı zirkon zahn kullanılıyor). Kaplama öncesi ufak düzeltmeler ve oynamalar yapılı. Gülüş tasarımı, diş estetiği son yıllarda en çok rağbet gören tedavi alanları arasında yer almaktadır. Fakat bazı durumlarda ne kadar dikkat edilirse edilsin dişlerde bozulmalar, sararmalar ve aşınmalar meydana. Zirkonyum kaplama tedavisi köprü, implant üstü kaplamalar, şekil bozuklukları ve bazı restoratif diş tedavileri için en estetik ve en doku dostu yöntemlerden biridir. Diş kaplaması yapılması gerektiğinde ağızda biyolojik olarak tam uyumlu maddeler kullanılması gerekir. Ama kliniklere ve doktorlara göre fiyatlarında oldukça değişiklikler görülebiliyor. Sorularınız için bizimle iletişime geçebilir fiyatlar ve.

Zirkonyum maddesi beyaz renkli ve aynı zamanda ışık geçirgenliği olan bir malzeme olması nedeni ile tercih edilir zirkon. 2020 zirkonyum diş kaplama fiyatları kalitesi ve kullanılan malzemelere göre fiyatlarında değişkenlik gösterebilmektedir.

Posting Komentar

0 Komentar

Ad Code